ORTODONCIA

La ortodoncia es la especialidad odontológica que permite corregir la mal posición de las piezas dentales, puede ser aplicada a los adultos con igual éxito que a los jóvenes.
La Ortodoncia comprende la corrección de las irregularidades dentofaciales y desarmonías dentales para lograr una condición estética y funcional más favorable.
Frecuentemente relacionamos a la ortodoncia con “Dientes Chuecos” (mal posiciones dentarias), pero realmente la ortodoncia se encarga de la corrección de muchas otras alteraciones que dan como resultado los “dientes chuecos”, que es el signo más notorio que resulta de éstas.
Además de los beneficios que la ortodoncia tiene para la función masticadora, una correcta distribución de los dientes es fundamental para la expresión armoniosa de la cara (apariencia, cosmética, gestos, sonrisa…) que unos dientes atractivos proporcionan una marca de estilo y el bienestar del individuo, ya que los dientes representan la tarjeta de presentación de cada persona.
La corrección se puede realizar con varias técnicas de ortodoncia, dependiendo del caso clínico que presente el paciente.
La infancia es la edad ideal para comenzar a controlar la mal posición de los dientes, de ahí la importancia de llevar a nuestros hijos a la consulta del especialista en Ortodoncia.
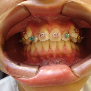
Tenemos una variedad de tipos de brackets por ejemplo los brackets de tipo convencionales, microbrackets, brackets estéticos o transparentes de cerámica para aquellos pacientes que no les gusta los brackets metálicos y otra variedad de brackets como para las exigencias de cada paciente. Adema los resultados del tratamiento de Ortodoncia se realizan en el tiempo mas corto posible, viendo los resultados al cabo del mes de iniciar el tratamiento.
ANTES

DURANTE

DESPUÉS

ANTES


DURANTE


DESPUÉS

ANTES


DURANTE


DESPUÉS

ANTES


DURANTE


DESPUÉS
